013

All-on-4

Age : 57
Sex : Female
Treatment : 2012
-Maxilla All-on-4
- Under -

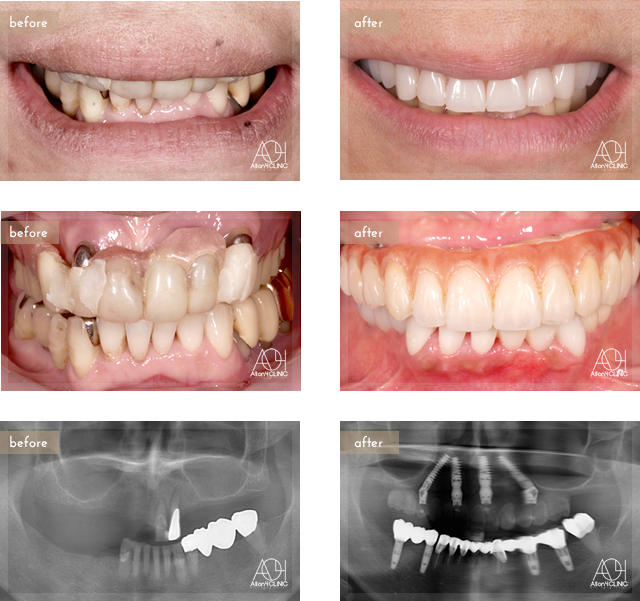
# 001

All-on-4

Age : 61
Sex : Female
Treatment :
- Maxilla All-on-4
- Under All-on-4

上顎は5本のインプラントを埋入。上顎上部構造はチタンPIBフレーム人工歯タイプ(歯肉:アクリリックレジン 歯:人工歯)

上顎は5本のインプラントを埋入。上顎上部構造はチタンPIBフレーム人工歯タイプ(歯肉:アクリリックレジン 歯:人工歯)