
Age : 67
Sex : Female
Treatment : 2011
-Maxilla Full-Mouth non gum
- Under -

Age : 61
Sex : Female
Treatment :
- Maxilla All-on-4
- Under All-on-4


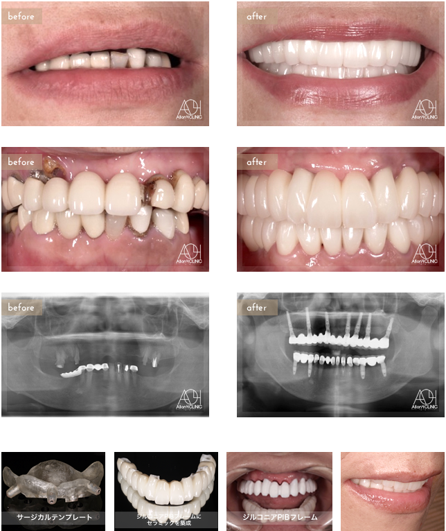
上顎は7本のNobel Activeインプラントをストレート埋入。上顎上部構造はジルコニアPIBフレームにセラミックを築成。non gumタイプを採用。上下メタルフリーによるフルマウスリコンストラクション。
