
Age : 61
Sex : male
Treatment : 2012
-Maxilla All-on-4
- Under All-on-4

Age : 61
Sex : Female
Treatment :
- Maxilla All-on-4
- Under All-on-4


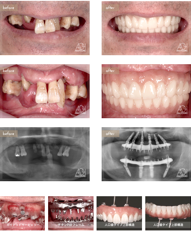
上顎は6本のNobel Activeインプラントを、 下顎はSpeedy Groovyを埋入。上下とも上部構造はチタンPIBフレーム人工歯タイプ (歯肉:アクリリックレジン 歯:人工歯)
