010

All-on-4

Age : -
Sex : Female
Treatment :
- Maxilla All-on-4
- Under All-on-4

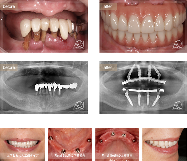
# 001

All-on-4

Age : 61
Sex : Female
Treatment :
- Maxilla All-on-4
- Under All-on-4

上下All-on-4。上下ともに人工歯タイプ。

上下All-on-4。上下ともに人工歯タイプ。