001

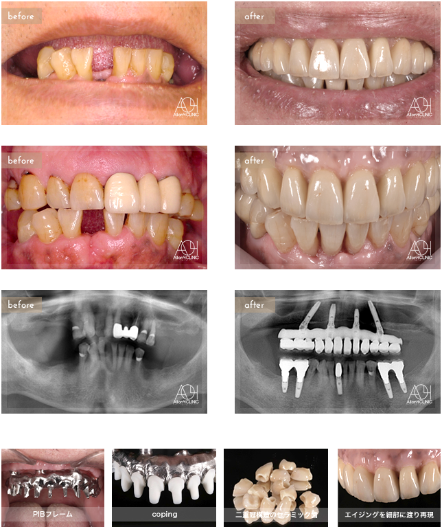
All-on-4

Age : -
Sex : male
Treatment :
- Maxilla All-on-4
- Under -

001

All-on-4

Age : -
Sex : male
Treatment :
- Maxilla All-on-4
- Under -

上顎All-on-4。上顎上部構造は二重冠構造(歯肉:アクリリックレジン/歯:セラミック)を採用。上顎の上部構造は、下顎に合わせエイジングを細部に渡り再現。

上顎All-on-4。上顎上部構造は二重冠構造(歯肉:アクリリックレジン/歯:セラミック)を採用。上顎の上部構造は、下顎に合わせエイジングを細部に渡り再現。