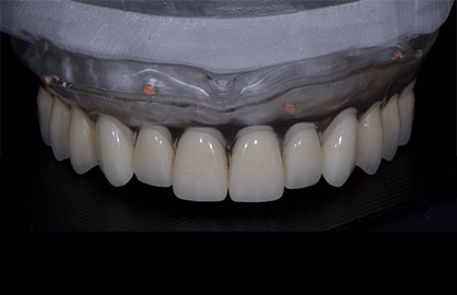
女性 / 62歳
入れ歯が合わなく痛いし、入れ歯を入れている事が嫌になってしまった。
治療詳細: X-guide(エックスガイドナビゲーションシステム)を用いてインプラントを正確に埋入。上下オールオン4。
費用:7,920,000(税込)『モニター割引適用』
リスク:治療後の口腔管理が不適切な場合、埋入したインプラント周囲に感染・炎症を起こし、脱落する可能性がございます。




患者様一人一人のご予算に合わせ、一人一人のお口の状態を判断し、
ご希望を聞かせていただいた上で、最適な治療プランをご提供いたします。
まずはお気軽にカウンセリングにお越しください。
オールオン4とは入れ歯に悩んでいる方、虫歯や歯周病で歯を残せないと
診断された方のためのインプラント治療法のひとつです。
片顎4本のインプラントを入れると同時に仮歯を固定します。

All-on-4®治療コンセプトは、ノーベルバイオケア社のソリューションです。
(ノーベルバイオケア社製以外のインプラントを用いた場合は、”オールオン4”ではありません)
審美面・機能性を即日に回復でき、柔らかいものならすぐに食べられるようになります。
片顎全ての歯をインプラントで治療する従来の方法に比べ、オールオン4は片顎4本のインプラントで12本の歯を支えますので、費用を大きく抑えることができます。
入れ歯と違い、インプラントで固定されているので自分の歯のように固いものが食べられます。
また、口の中でずれる事もないため発音もしやすくなります。
現金以外にも分割払いやクレジットカードやデンタルローンも使えますので、お気軽にご相談ください。
口腔内の状態によっては、術後に痛みや腫れを伴う場合がございます。治療後に痛み止めを処方いたしますので我慢ができない痛みが伴うことはありません。
インプラント治療技術に加え、審美治療や噛み合わせの治療、技術の高い歯科技工士が必要となる難しい治療です。そのため上手にオールオン4治療ができるクリニックは限定されます。
症例写真を他院と比べてみてください。症例の美しさは技術力の表れです。
女性 / 62歳
入れ歯が合わなく痛いし、入れ歯を入れている事が嫌になってしまった。
治療詳細: X-guide(エックスガイドナビゲーションシステム)を用いてインプラントを正確に埋入。上下オールオン4。
費用:7,920,000(税込)『モニター割引適用』
リスク:治療後の口腔管理が不適切な場合、埋入したインプラント周囲に感染・炎症を起こし、脱落する可能性がございます。
女性 / 42歳
歯がボロボロなのは分かっているが、時間的な余裕が無いことと歯科に対する恐怖心から、悪いままの状態を放置してしまった。人前でおもいっきり笑いたいので意を決して来院。
治療詳細: ガイデッドサージェリーにてインプラント埋入。歯槽骨が残っていたため歯冠形態のみ(ガム無し)の補綴
費用:¥3,850,000(税込) 『モニター割引適用』
リスク:治療後の口腔管理が不適切な場合、埋入したインプラント周囲に感染・炎症を起こし、脱落する可能性がございます。
男性 / 56歳
仕事が忙しく歯には全く関心が無く、とうとう食事が困難になり治療を受ける事を決意。
治療詳細:ガイデッドサージェリーにてインプラント埋入。極めて骨量が少ないためザイゴマインプラントにて治療。
費用:¥7,920,000(税込)『モニター割引適用』
リスク:治療後の口腔管理が不適切な場合、埋入したインプラント周囲に感染・炎症を起こし、脱落する可能性がございます。
男性 / 65歳
日本各地のクリニックを受診し、カウンセリングを何回も受けているがどのクリニックで治療を受けるべきか迷っている。
治療詳細:ガイデッドサージェリーにてインプラント埋入。骨量が少量であったためザイゴマインプラントにて治療。
費用:¥5,720,000(税込)『モニター割引適用』『オリジナル動画撮影協力あり』
リスク:治療後の口腔管理が不適切な場合、埋入したインプラント周囲に感染・炎症を起こし、脱落する可能性がございます。

他院で治療ができないと言われて来院される患者様も多くいらっしゃいます。高い技術力が必要なザイゴマインプラントにも対応しておりますので、安心してご相談ください。

2001年から20年以上に渡り、10,000本以上のインプラント治療を行ってまいりました。患者様にとってベストな治療プランをご提案いたします。

痛みに敏感な方、怖い方でも安心して治療を受けていただけるように静脈内鎮静、全身麻酔下での治療を行っております。嘔吐反射がある方も安心して治療を受けられます。

当院ではインプラント、オールオン4共に複数の豊富な治療プランをご用意しております。安心の最大10年保証もついておりますので、万が一の時も無償で対応いたします。
オールオン4治療の費用は、片顎で総額約260.7万円〜ご用意しております。
当院では世界的に信頼度の高いノーベルバイオケア、ストローマン(※1)のインプラントを使用しており、
手術後の保証も最長10年保証をおつけしております。
※1 ストローマン社のインプラントを用いた場合は "プロアーチ"という治療名称になります。

標準価格
2,607,000円(税込)
診断料+局所麻酔+
オペ代+最終補綴人工タイプ
※治療費は自由診療(保険適用外)となります
YouTubeにて、オールオン4の具体的な費用やクリニックによって治療費が変わる理由、
一般的な支払方法の詳細から医療費控除などを解説しています。
他院で失敗してしまった患者様や、問題を抱えセカンドオピニオンで来院した患者様の症例を検証すると、オールオン4で最も多い治療後のトラブルは「最終補綴装置」(歯の部分)です。
インプラント治療のやり直しは、非常に困難です。後悔しない為にも、安い治療費や、広告のみを信じて安易に医院を決めないで下さい。
オールオン4クリニックは、多くの患者様を薄利多売で診察するクリニックではありません。
患者様が納得いくまでご説明いたしますので、まずは無料カウンセリングをお受けください。
外科主導のオペを行う(骨のあるところに歯科医師の経験を頼りにインプラントを入れ、型取りをし、後から歯の部分を技工士任せで作成する)事が多いからです。建築で言えば、設計図を描かずに柱を入れ、後から家を建てる様なものです。
オールオン4クリニックでは、最初にラジオグラフィックガイドを作成した後に、DTX studio™ implant (implantシミュレーションソフト)でインプラント埋入計画を立てた後に手術を行う補綴主導の治療を行っております。 ドクター橋村は補綴主導型オールオン4治療の第一人者です。
最終的な歯並びを再現するために、透明な入れ歯のようなもの(ラジオグラフィックガイド)を作製します。これを口の中に入れ、患者様の歯の形や歯並びが顔に合っているかを確認します。また、患者様に最終的な仕上がりをイメージしてもらうことが重要です。
問題がなければ、ラジオグラフィックガイドを口の中に入れた状態でCT撮影を行い、DTX studio™ implant を用いてインプラントの埋入位置をプランニングします。現在は、ラジオグラフィックガイドを用いずにデジタルワックスアップを行うことで、治療期間を短縮することもできます。

ラジオグラフィックガイド

ラジオグラフィックガイドを入れてCT撮影

DTX studio implantで
インプラントの埋入位置を決定

まずは、お気軽にカウンセリングにお越し下さい。費用は一切かかりませんし、お話を聴きにこられるだけでも大歓迎です。あなただけのプライベート空間で、ドクターが丁寧にお話を伺い、CT検査から診査診断、治療計画を立て、オールオン4クリニックにしかできない、患者様にとって笑顔を取り戻す最高の治療プランをご提案致します。

診査・診断・プランニングは、オールオン4を成功させる為の最も重要なステップです。
3Dスマイルデザイン、ワックスアップ、ラジオグラフィックガイド、DTX studio™ implant によるプランニングに基づいて、患者様それぞれに合わせて慎重に診断を進めていきます。

初診カウンセリング時の口腔内の状態により、すぐに施術できない場合は、前処置を行って口腔環境を整えます。
オールオン4の施術を行う対合の歯を残すことができる場合は、長期に渡ってかみ合わせを機能させるために、歯周病治療と咬合治療の2つの術前治療が極めて重要になってきます。

施術の内容や施術時間、患者様の希望にあわせた麻酔の導入の後、担当ドクターが責任をもって施術を行います。この間、不快感や痛みを感じることはほとんどありません。
術後、リカバリールームでしばらくお休み頂き、ご帰宅いただきます。
オールオン4治療後は、ご自宅でのケアや定期メンテナンスが重要です。
詳しい歯磨きの仕方などを解説しているので、ぜひご覧ください。
こんにちは。院長の橋村です。
「少しずつ歯がなくなってボロボロに、、」
「あっという間にキレイな歯並びにリセットしたい」
そんな患者様がインターネットで必死に検索して
『オールオン4(All-on-4)』に辿り着きます。
しかし、難易度の高い治療技術のため、多くの歯科医院では対応ができません。
オールオン4ができたとしても、ドクターの経験不足でダメになってしまったり、長く持たないことも少なくありません。
色々な不安をお持ちの方も多いのではないでしょうか。
ご安心下さい。
私達はこれまで数多くのオールオン4治療を行い、全てのケースで長期間安定した結果を出しております。
皆さん、総入れ歯から解放され、美味しいものがよく噛めて、大きなお口を開けて笑える生活を送られています。
治療の痛み、治療後の腫れや食事制限なども心配かと思いますが、その点も十分に配慮して快適に治療を受けて頂けますので、まずはオールオンフォーという治療が自分にとって合っているかどうか、無料のカウンセリングにお越し下さい。
もちろん、カウンセリングを受けた上で、治療をするかどうかは患者様の自由です。
無理にお勧めすることは決してありません。
オールオン4の費用は、上下どちらかで300万円前後が目安です。(自由診療なので医院により異なります)
また、歯の部分の材質をジルコニアにした場合は、300万以上するのが一般的です。治療技術や治療の質によって治療費の設定が異なりますので、あまり安い治療費を設定している場合は注意しましょう。
適切な治療とメンテナンスにより、インプラントは30年以上は機能します。歯の部分(上部構造)に関しては、人工歯タイプは8年前後で作り直す必要があります。ジルコニアタイプは割れない限り、30年以上は持ちます。
主に虫歯や歯周病が原因で、多くの歯を失った方や入れ歯に悩んでいる方に向いている治療法です。骨量が少ない方にも骨造成の必要が無く、短期間で治療が完了します。
主に重度の糖尿病や心疾患等の全身的な健康状態が原因で、インプラントが出来ない方。また、顎の骨が極端に少ない方など、骨の状態によっては適応できない場合があります。
正しくケアすれば口臭の原因にはなりませんが、お手入れ不足や清掃不良があると口臭につながることがあります。また、先生の治療技術によって、汚れがつきやすい構造の歯を入れられた場合は、口臭の原因になります。
医院によってはデンタルローンや分割払いに対応しており、月々の負担を抑えて治療を受けることが可能です。
手術中は麻酔を使用するためほとんど痛みは感じません。術後も痛み止めでコントロールできるため、大きな痛みは少ないとされています。
一般的には3〜6ヶ月程度かかります。基本的に、手術と同時に仮歯が入ります。
オールオン4は、片顎全ての歯をインプラントのみで支えるボンアンカードブリッジという治療法の1つです。4本のインプラントで片顎12本の歯茎付きの歯を支える治療法で、骨造成をせずに、手術と同時に仮歯を入れる即時負荷治療です。また、後方のインプラントを前方に傾斜させる点においても、通常のインプラント治療とは異なります。
一般的に、総入れ歯の咬合力は、自分の歯で噛む力の2〜3割程度といわれてます。オールオン4はインプラントで固定されるため、自分の歯と同等の咬合力を発揮できます。
また、患者様自身で取り外す必要はありません。見た目も入れ歯に比べ優れています。入れ歯は取り外す必要があり、安定感に差があります。